Cuaderno en piel
Saltar al contenido.
Temas
Mi otro Blog
Fundamentos
Acerca de
Publicado
4 febrero, 2014
en
Biopsia de piel
|
El tamaño completo es de
200 × 133
pixels
← Anterior
Siguiente →
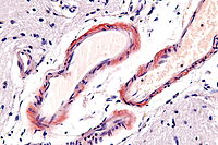
Biopsia de piel Rojo Congo Dr. Lauzurica Dermatólogo www.lauzurica.wordpress.com
Rojo Congo
Rojo Congo. Tiñe lípidos
Comparte esto:
Imprimir (Se abre en una ventana nueva)
Imprimir
Más
Compartir en Tumblr (Se abre en una ventana nueva)
Tumblr
Me gusta
Cargando...
Tu opinión me interesa
Cancelar la respuesta
Δ
Comentar
Suscribirse
Suscrito
Cuaderno en piel
Únete a otros 368 suscriptores
Suscríbeme
¿Ya tienes una cuenta de WordPress.com?
Inicia sesión
.
Cuaderno en piel
Suscribirse
Suscrito
Regístrate
Iniciar sesión
Copiar enlace corto
Denunciar este contenido
Ver la entrada en el Lector
Gestionar las suscripciones
Contraer esta barra
%d