Dermatofibroma…esa bolita dura en la piel.

Dermatofibroma sin relieve con aspecto de lunar.

Dermatofibroma sin relieve con aspecto de lunar.

Hoy toca sacar al dermatofibroma del anonimato o usando un símil cinematográfico, fijarnos en ese actor de reparto presente en casi todas las escenas de exploración o auto-exploración dermatológica, donde otros llevan siempre el papel de protagonistas.

Nuestro dermatofibroma está siempre esperando a que te fijes en él, sin llamar apenas la atención, engastado en la piel con poco tono y sin molestar. Mientras, los nevus vestidos con sus mejores galas nos dan colores cambiantes, realces y texturas varias. Se llevan lo mejor del guión y siempre hay alguno con vocación de malo, que esconde sus intenciones para sorprenderte en cualquier momento de «la película».

A pesar de todo, ¡qué raro es acabar una exploración sin que nos pregunten por él!. Hasta el peor secundario tiene su momento de gloria.
Otra cosa es recordar el nombre, que para tan poco papel, además de llamarle dermatofibroma lo hemos bautizado con un montón de nombrajos:

  • Histiocitoma solitario
  • Histiocitoma fibroso benigno
  • Histiocitoma cutis
  • Histiocitoma de células epiteloides
  • Fibrosis nodular subepidérmica
  • Hemangioma esclerosante

Todos estos apelativos tienen que ver con su origen incierto y su morfología cuando se ve al microscopio.

Realmente el dermatofibroma es un tumor benigno de piel, a veces considerado  reactivo puesto que puede aparecer tras un mínimo traumatismo, también picadura o una inflamación de un folículo de pelo. Quizá es por eso que es más frecuente en mujeres (por los hábitos depilatorios) y se ven más en las piernas que en los brazos.
Aunque  puede aparecer a todas las edades, se suele diagnosticar más llegada la mediana edad.

 

¿Cómo distinguir un dermatofibroma?

El aspecto típico es el de un realce, la mayoría de las veces de color marrón tenue pero también violáceo o negro azulado, del tamaño de un guisante, duro al tacto y desplazable en profundidad. En ocasiones es plano y solo destaca por el color, como es el caso de la foto, semejando un simple lunar. Parece adherido a la superficie y cuando se le intenta pellizcar, se produce una retracción muy característica llamada “signo del hoyuelo”, que ayuda a su diagnóstico clínico.

Signo del hoyuelo, típico del dermatofibroma

«Signo del hoyuelo», típico del dermatofibroma.

 

Suele se único, pero algunas veces un mismo paciente puede tener varios.

Existen casos de Dermatofibromas eruptivos múltiples (LINK) normalmente asociados a inmunodeficiencias (VIH o fármacos) y enfermedades autoinmunes (Lupus…). También hay variantes agrupadas y excepcionalmente alguno descrito desde el nacimiento, por lo tanto congénito.

Algunas veces se ven dermatofibromas gigantes, de varios centímetros, e incluso pediculados y colgantes.

 

¿Como se origina un dermatofibroma?

Ese origen reactivo queda expresado en palabras del Dr. Requena de la siguiente forma: “ el dermatofibroma es un tipo diferenciado de inflamación granulomatosa y fibrosante que ocasiona un tumor”.
Atendiendo a esto se distinguirían tres etapas en su formación:

  1. Tejido de granulación: numerosos eritrocitos extravasados.
  2. Inflamación granulomatosa
  3. Fibrosis

Otro enfoque es el que lo considera un tumor del dendrocito dérmico, célula con funciones inmunológicas

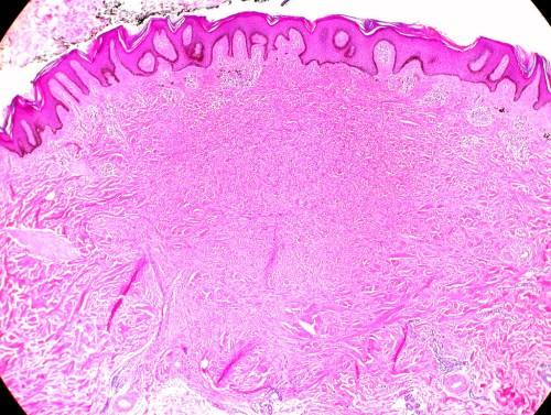
Imagen histológica del dermatofibroma

Imagen histológica del dermatofibroma. Foto: eutham

 

Al microscopio se aprecia que es un tumor de la dermis, simétrico y separado de la epidermis suprayacente por una zona libre de tumor (zona Grenz).
Está formado por células alargadas parecidas a fibroblastos, histiocitos espumosos, células gigantes multinucleadas y algún linfocito. El tejido que lo sustenta es muy laxo (mixoide).
Las variantes histológicas son numerosas y de ahí los distintos nombres con que se conoce a este tumor.

Las tinciones inmunohistoquímica muestran:

  • Factor XIIIa (+ para algunas células)
  • CD34 (-)
  • Viventina y actina de musculo liso (positividad local)

Con estos resultados se infiere que se trata de un tumor de origen miofibroblástico y se le ha dado en llamar también tumor del dendrocito dérmico por su positividad al Factor XIIIa.

 

¿Con qué se puede confundir un dermatofibroma?

Si el diagnóstico clínico ofreciese dudas y el histológico también, y esto ocurre pocas veces, las tinciones inmunohistoquímicas nos sacan del trance ante los siguientes casos:

  • Tumores melanocíticos: darían positivo a la proteína S100
  • Sarcoma de Kaposi y hemangioma fusocelular: CD31(+) en células endoteliales.
  • Dermatofibrosarcoma protuberans: CD34. (+)

Este último no presenta células espumosas, ni gigantes multinucleadas y tiende a invadir el tejido celular subcutáneo.

 

¿Se debe eliminar un dermatofibroma?

Su comportamiento benigno y la mínima repercusión funcional de la mayoría de dermatofibromas llevan a la inacción terapéutica.

Es cierto que muchos pacientes comentan la posibilidad de mejorar el aspecto estético y en esto hay que ser muy cautelosos pues muchas veces el resultado empeora la situación original. Recordemos el origen reactivo del tumor.
Algunos se logran disminuir con crioterapia poco agresiva o láser de colorante pulsado.
El uso del bisturí debiera quedar reservado para los casos de duda en el diagnóstico o compromisos funcionales.

 

Dr. Eduardo Lauzurica. Dermatólogo

Ubicación en Madrid

Ubicación en Vitoria

Comentarios desactivados en Dermatofibroma…esa bolita dura en la piel.

Archivado bajo Lunar, Tumor

Los comentarios están cerrados.