Pitiriasis versicolor, el hongo que cambia el color de la piel

Llega el otoño y la naturaleza cambia los colores que han permanecido estables durante la última estación.

La Pitiriasis versicolor (PV), que con este nombre ya se postula, nos muestra que la piel llegada esta época también se suma al cambio y apunta matices coloristas.

Este proceso causado por hongos es muy frecuente, aunque no siempre se manifiesta con la intensidad suficiente para ser observado y en muchos casos pasa desapercibida ya que tampoco suele picar.

La pitiriasis versicolor está causada por una levadura del género Malassezia, un hongo que convive en nuestra piel como parte de la flora habitual (saprófita) y con escasa o nula respuesta inflamatoria.

Está implicada también en estos otros procesos:

  • Dermatitis seborreica
  • Foliculitis
  • Caspa
  • Eczema/Atópia

Con estudios de PCR se pueden identificar varias especies siendo M. globosa la más frecuentemente aislada. No obstante hay variaciones según la situación geográfica:

  • M globosa: Japón, Grecia y España
  • M furfur: Brasil
  • M. sympodialis: Canada, Argentina

Este articulo profundiza en la prevalencia y patogenicidad de las distintas especies según la distribución geográfica.

Para algunas especies, la aparición de lesiones de PV estaría relacionada con el aumento de colonias en la zona afecta; en otros casos no hay sobrecrecimiento o aparecen asociadas dos especies en la zona de las placas.

El hongo se encuentra también en zonas que no han desarrollado placas.

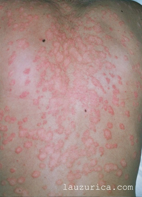
Pitiriasis versicolor inflamatoria

Pitiriasis versicolor con placas rojas evidentes

La PV es la dermatomicosis más frecuente (tiña versicolor) representando según estudios y localizaciones hasta un 40% de todas las tiñas. La prevalencia en la población también es alta y variable según poblaciones (0,5 – 40 %).

La aparición de las lesiones tiene lugar cuando las levaduras presentes en la piel sana pasan a forma micelar. Se cree que esta parasitación se desencadena favorecida por una serie de factores locales (calor, humedad y oclusión) y otros característicos del huésped (composición de la secreción grasa).

Se observan máculas y placas con fina descamación, rosadas y/o marronáceas, también anaranjadas en forma de confeti y placas blancas hipocrómicas. Estas últimas son consecuencia de la acción inhibitoria sobre el melanocito de los ácidos dicarboxílicos que el hongo produce al degradar los lípidos superficiales de la piel.

En cuanto a la distribución, predomina en zonas de gran secreción grasa, como tronco, cuello y también en cara y raíz de extremidades.

Muchos pacientes no presentan lesiones activas evidentes y es después de un aumento del tono de la piel, habitualmente tras la exposición solar del verano, cuando al aparecer las placas blancas son conscientes de padecer el proceso.

Pitiriasis versicolor con placas acrómicas

Pitiriasis versicolor en fase despigmentada

 

Diagnóstico

No suele ofrecer dudas para el dermatólogo, si bien hay que descartar procesos como el vitíligo, la pitiriasis alba de los atópicos, dermatitis seborreica, pitiriasis rosada, nevus acrómico, sífilis secundaria etc

Si nos ayudamos con la lámpara de Wood, podemos comprobar una fluorescencia amarilla, aunque no en todos los casos es observable.

Al microscopio, el examen directo con KOH más tinta Parker nos permite ver las levaduras y el pseudomicelio.

La biopsia no suele precisarse, pero con tinciones como PAS y metenamina argéntica se ponen de manifiesto las levaduras. Con hematoxilina-eosina también son observables.

El cultivo se reserva habitualmente para estudios de identificación de las distintas especies de Malassezia. Se precisan medios de cultivo especiales, creados con sus propios componentes.

Tratamiento

El proceso va encaminado a evitar la aparición de formas activas ya que las placas sin color repigmentarán con el tiempo y tras nuevas exposiciones solares.

La alta tasa de recurrencia plantea tratar no solo las zonas con evidencia de cambio, sino también aquellos pacientes con placas despigmentadas sin lesiones previas. En este último caso se pautaría el tratamiento antes del verano, aún sin evidencia de hongo en ese momento.

La Malassezia responde bien a los distintos antifúngicos tópicos.

En algunos casos, por el grado de extensión o bien cuando se pauta un tratamiento previo al verano en pacientes recurrentes sin lesiones activas, puede usarse la vía oral.

El uso de antifúngico por vía oral durante 3 días suele ser suficiente en la mayoría de casos; si no hay resolución completa, se repite a la semana.

El uso de jabones con antifúngico o sulfuro de selenio puede ser de ayuda en casos recalcitrantes o de gran extensión.

Eduardo Lauzurica. Dermatólogo

Ubicación en Madrid

Ubicación en Vitoria

Comentarios desactivados en Pitiriasis versicolor, el hongo que cambia el color de la piel

Archivado bajo Hongos

Los comentarios están cerrados.